Выбор читателей
Популярные статьи
Верхние дыхательные пути часто подвергаются воспалению как у детей, так и у взрослых. Это связано с расположением органов дыхания. Ведь они практически напрямую сталкиваются с внешней средой (носовые ходы, ротовая полость). Из-за воспаления бактерии часто проникают в бронхи и лёгкие. В результате развиваются такие осложнения, как бронхит, пневмония. Также воспаление часто переходит на среднее ухо. Самым опасным осложнением является прорыв очага инфекции и попадание бактерий в головной мозг или кровоток. Воспаление называется синуситом. Данную патологию лечит отоларинголог. При подозрении на синусит необходимо обследование - рентген носа. Если снимки не могут предоставить полную информацию о распространении воспалительного процесса, требуется более детальная диагностика.
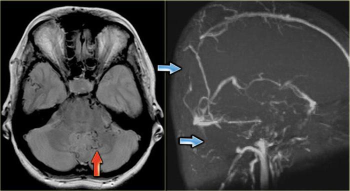
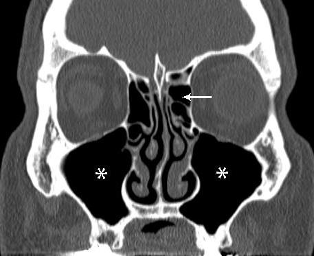
Как известно, синуситы подразделяются на несколько разновидностей. Наиболее распространённым считается воспаление гайморовой пазухи. Оно может быть как одно-, так и двухсторонним. Реже воспаление развивается в клиновидных (сфеноидит) и решётчатых пазухах (этмоидит). Также возможно инфицирование сразу всех перечисленных анатомических образований. Сочетанное воспаление пазух носа носит название пансинусит. Различить изменения на рентгенограмме удаётся не всегда. В этих случаях доктора рекомендуют выполнить МРТ пазух носа. Этот метод позволяет хорошо рассмотреть все ткани черепа. МРТ является диагностической процедурой, позволяющей послойно визуализировать органы и системы определённой анатомической области. На сегодняшний день данный метод считается одним из самых информативных способов выявления патологий. Компьютерная и магнитно-резонансная томография пазух носа позволяет увидеть изменения, которые нельзя рассмотреть никакими другими аппаратами для диагностики. Данные методы получили широкое применение во всех странах.

МРТ придаточных пазух носа проводится с помощью специального аппарата - магнитно-резонансного томографа. Он имеет большой размер, так как необходимо полностью поместить туда пациента. Обследуемый находится в лежачем положении на кушетке, а аппарат представляет собой камеру цилиндрической формы. Внутри неё генерируется магнитное поле. Как известно, каждая клетка человеческого организма имеет заряд. Поэтому при попадании в зону электромагнитных волн ткани начинают реагировать. Клетки начинают как бы «вибрировать» из-за разности потенциалов. В результате происходит резонанс. Эти изменения улавливаются специальными датчиками и отображаются на мониторе. Благодаря такой реакции клеток организма на создавшиеся условия формируется трёхмерное изображение тканей. Конечным результатом является получение серии снимков, на которых видны носовые пазухи в различных срезах (послойно). Данный метод диагностики информативен при обследовании мягких тканей организма. Учитывая то, что выстлана слизистой оболочкой, а вокруг находится множество сосудов и хрящей, доктора рекомендуют выполнять МРТ, а не компьютерную томографию (предпочтительна для визуализации костей).

Чаще всего МРТ пазух носа назначают при малой информативности рентгенографии. Особенно, если имеются подозрения на новообразования в полости черепа. Также этот метод исследования выполняют при воспалительных процессах в клиновидных и решётчатых пазухах носа, так как их нельзя рассмотреть при рентгенографии. Выделяют следующие показания к проведению МРТ:
Стоит помнить, что МРТ считается довольно информативным методом. Поэтому при возможности выполнить данное обследование стоит отдать ему предпочтение в сравнении с другими способами визуализации пазух носа.

Несмотря на то что томография пазух носа довольно информативна, в некоторых случаях данный вид диагностики противопоказан. Это связано с тем, что МРТ относится к методам, которые сопровождаются лучевой нагрузкой на организм. Противопоказания к проведению томографии:
Относительным противопоказанием являются психические и нервные болезни. В этих случаях томографию не рекомендуется делать пациентам, страдающим клаустрофобией и не имеющим возможности контролировать свои движения.

Перед проведением МРТ пазух носа не требуется специальной подготовки. В редких случаях пациенту рекомендуется принять седативные таблетки, которые помогут расслабиться. Чаще всего это необходимо людям, испытывающим страх при нахождении в замкнутом пространстве (клаустрофобия). Пациент укладывается на кушетку, конечности фиксируют специальными ремнями. Подобные меры следует принять, так как во время процедуры нельзя двигаться. Лишняя физическая активность приведёт к неправильным результатам МРТ. Во время данного обследования нельзя разговаривать и поворачивать голову. Процедура длится около 10 минут. Во время сканирования аппарат издаёт характерные звуки, напоминающие треск. При этом формируется изображение носовых пазух в различных проекциях. Оно передаётся на компьютер, который находится в соседней комнате. За этим процессом наблюдает медицинский работник.

В некоторых случаях обыкновенной томографии недостаточно для диагностики. Тогда применяется МРТ с контрастированием. Наиболее часто встречающимся показанием для подобного обследования является подозрение на онкологические процессы в носовых пазухах или рядом с ними. В качестве контрастного вещества используется гадолиний. Его вводят в сосудистую систему. Контраст окрашивает артерии или вены исследуемой области, тем самым, улучшая визуализацию.
Только в случаях необходимости стоит назначать МРТ пазух носа. Что показывает данное обследование? Расшифровкой снимков занимает врач-рентгенолог или отоларинголог. По данным МРТ можно увидеть нарушение структуры тканей, тень от патологического образования и т. д. Благодаря данному методу диагностируют следующие патологии:

При назначении томографии многие пациенты задают вопрос: почему нельзя сделать вместо этого рентген носа? Ведь МРТ считается дорогостоящей процедурой, которую не каждый может себе позволить. Действительно, рентгенография тоже позволяет визуализировать пазухи носа. Тем не менее магнитно-резонансная томография имеет ряд преимуществ. Среди них: возможность визуализировать все носовые пазухи, послойное сканирование тканей всех близлежащих структур данной области. Также преимуществом этого метода является отсутствие необходимости повторного облучения организма.
Магнитно-резонансная томография - это метод обследования, благодаря которому можно произвести сканирование любой области организма. К примеру, брюшной или грудной полости, головного мозга. В последнее время при подозрениях на серьёзные патологии ЛОР-органов рекомендуется выполнять МРТ пазух носа. Цена данной процедуры зависит от региона и клиники, в которой проводится томография. В среднем стоимость данного метода обследования составляет от 2 до 6 тысяч рублей.
| Статьи по теме: | |
|
Опухли гланды с одной стороны и болят: что делать, чем лечить?
Болевые ощущения в горле – адекватная защитная реакция организма на... Что делать, если у ребенка заложен нос, но соплей нет?
Такой симптом, как заложенность носа, встречается у детей довольно... Болит горло без температуры: как и чем быстро устранить симптом
Когда болит горло без температуры, то причину самостоятельно установить... | |