Выбор читателей
Популярные статьи
Как только на улице холодает и начинаются осенние дожди ребенок может жаловаться на болезненные ощущения в горле. Они являются симптомом вирусного или бактериального заболевания. Болезнетворным бактериям подвержены те дети, которые чаще бывают вне дома – гуляют на улице, посещают детский сад и ездят в общественном транспорте. Поставить точный диагноз поможет участковый врач-педиатр, который затем назначит правильное лечение.
Болит горло у ребенка? В более 90% всех случаев это вызвано ОРВИ. Помимо першения и боли в горле наблюдаются следующие симптомы этого заболевания:
Заложенность носа;
Небольшая температура;
Кашель.
В остальных 10% случаев воспаленное горло свидетельствует про наличие одного из ЛОР-заболеваний. Ниже приводится описание самых распространенных из них.
Когда воспаляется слизистая горла, то начинает развиваться ларингит. Опровергнуть или подтвердить этот диагноз, а также назначить правильное лечение может только педиатр. Заболевание возникает вследствие осложнений стоматологических и ЛОР-болезней. Дискомфорт в горле и кашель являются основными признаками ларингита.
Фарингит представляет собой острую форму ларингита. Он может стать последствием переохлаждения, заражения вирусами простуды и гриппа или грибка кандида. У ребенка с фарингитом, першит горло, наблюдается сухой кашель, голос становится хриплым или пропадает вообще.
Ложный круп – также является разновидностью острого ларингита. Основными симптомами этого заболевания у деток 3-5 лет являются затрудненное дыхание, покраснение горла, спазмы голосовых связок.
Удушье возникает в основном во сне. Малыш при этом просыпается в поту. У него синеют губы, дыхание становится затрудненным, он громко кашляет. Через минут 5-7 приступ проходит, однако родители все-равно должны вызвать скорую и доставить маленького пациента в больницу.
Если лечение было начато слишком поздно, то инфекция распространится дальше гортани, возникнут осложнения. Организм ребенка 3-5 лет не может самостоятельно бороться с болезнью, поэтому необходимо обратиться за помощью к участковому педиатру.
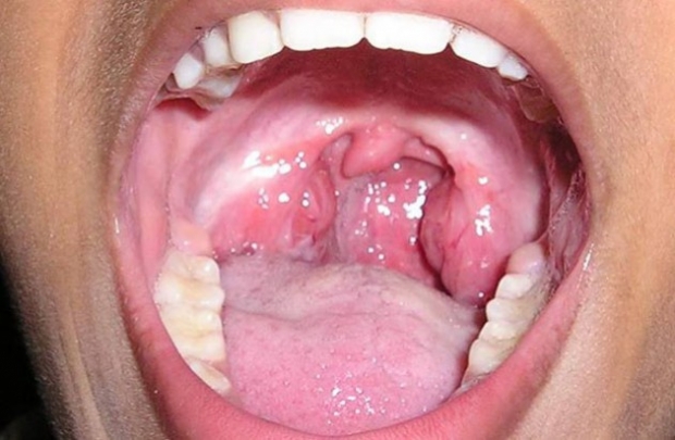
Тонзиллит (ангина) возникает при развитии воспалительного процесса на миндалинах и слизистой зева. У детей 3-5 лет тонзиллит возникает после заражения стрептококками или другими бактериями. Большинство родителей ошибочно считают, что если у ребенка сильно болит горло, то у него обязательно ангина. Подтвердить этот диагноз может анализ крови.

Инкубационный период данного заболевания длится от трех до 96 часов. По истечении этого времени у малыша начинаются первые симптомы:
Высокая температура (до 39 0С);
Белый налет на гландах;
Болезненность в горле;
Затрудненное глотание слюни;
Отсутствие аппетита;
Беспокойное поведение;
Плаксивость.
Хронический тонзиллит провоцируется инфекцией, попавшей на небные миндалины. Если вовремя не начать лечение этого заболевания, то развиваются осложнения, влияющие на функциональность почек, сердца и суставов. Ребенок, который страдает хроническим тонзиллитом, жалуется на боль и сухость в горле, затрудненное глотание и неприятный привкус во рту. Дети трех-пяти лет, болеющие данным заболеванием, быстро устают, становятся капризными и вялыми.
Также боль в горле у детей от 3 до 5 лет может быть вызвана дифтерией гортани. Заражение происходит дифтерийной палочкой, вызывающей кровянистый отек слизистой горла и спазма мышечных тканей гортани. Чаще всего этим заболеванием болеют дети старше трех лет. У них наблюдаются такие симптомы, как высокая температура тела, кашель, болезненные ощущения в горле, хриплый голос. Это состояние у малыша наблюдается от трех часов до четырех дней, после чего заболевание вступает во вторую фазу. Ребенок начинает тяжело и шумно дышать, обильно потеет. Кожа маленького пациента приобретает синий оттенок, пульс учащается, могут возникать спазмы в мышечных тканях гортани. Поведение ребенка становится сонливым и заторможенным. В особо тяжелых случаях возможен летальный исход от удушья.
Отечественные педиатры сходятся к единому мнению, что в таком возрасте лечить красное горло у ребенка нужно соблюдая следующие рекомендации:
Давать маленькому пациенту обильное теплое питье, например, чай с лимоном или малиной, морс, кисель т.д.;
Поддерживать высокую влажность воздуха, это позволит облегчить состояние малыша при першении в горле;
Полоскать горло;
Прикладывать компрессы;
Как можно меньше разговаривать, чтобы не напрягать голосовые связки;
Употреблять мягкую и неострую пищу.
Помимо этого, педиатр может прописать лекарственное средство, например спрей, ингалятор, леденцы или аэрозоль от боли в горле. Если заболевание горла имеет инфекционный характер, то доктор назначит антибиотики.

При лечении тонзиллита у детей 3-5 лет используются антибиотики местного действия. Такие препараты не так агрессивно воздействуют на организм маленького пациента и не вызывают развитие побочных эффектов. Чтобы увлажить малышу горло необходимо чаще давать ему теплое питье, а также полоскать рот. Также не рекомендуется употреблять твердую пищу, использовать согревающие компрессы и играть с ребенком в активные игры. Через 3-5 дней лечения миндалины ребенка очищаются от налета. Важно своевременно начать лечение, в противном случае тонзиллит приобретает хронический характер, лечение которого может закончиться оперативным вмешательством.
Хронический тонзиллит у детей 3-5 лет начинают лечить полным курсом антибиотиков. Однако такая терапия не всегда эффективна, так как миндалины могут сохранить хронический воспалительный процесс и не восстановить свои функции. В таких случаях врач назначает оперативное удаление миндалин. В дальнейшей жизни ребенок, которому удалили миндалины, меньше подвержен болезням, так как отсутствует инфицированный участок.
Лечение дифтерии гортани требует госпитализации в инфекционную больницу, где пациент проходит курс терапии антитоксической сывороткой. Этот противодифтерийный препарат вводят внутримышечно.
Применение ингалятора при боли в горле является еще одним эффективным способом лечения детей 3-5 лет. Процедура ингаляции облегчает общее состояние маленького пациента и снимает воспаление.
Гексорал – антисептический и обезболивающий препарат с обволакивающим действием. Назначается для лечения тонзиллита, фарингита и других заболеваниях гортани. Препарат имеет две формы выпуска – спрей и раствор для полоскания.

Тантум Верде – противовоспалительное средство, обладающее жаропонижающим и обезболивающим действием. Назначается при лечении фарингита, ларингита, ангины, хронического тонзиллита. Выпускается в форме леденцов от горла для детей, раствора для полоскания, спрея для орошения.

Люголь – антисептическое средство местного действия. Выпускается в форме раствора и спрея. Назначается при ангинах, хронических тонзиллитах и других заболеваниях.

Лизобакт – таблетки для рассасывания, обладающие антисептическим действием. Применяется для лечения инфекционных болезней гортани и полости рта.

Ротокан – раствор для полоскания, который назначается при лечении болезней инфекционного характера. Перед применением небольшое количество препарата разводят в стакане теплой воды.

Хлорофиллипт
– антисептический препарат природного происхождения. Выпускается в форме раствора на основе масла или спирта, а также в таблетках и форме спрея для орошения горла. Препарат назначается для лечения заболеваний вызванных стафилококками.
Каждый родитель должен помнить, что самолечение может вызвать негативные последствия. Поэтому не стоит рисковать здоровьем малыша. Применять то или иное лекарство можно только по назначению врача.

Что делать если у ребенка болит горло и как ускорить процесс выздоровления? В комплексе с медикаментозной терапией можно применять рецепты народной медицины. Но в этом случае важно проконсультироваться с педиатром и узнать, нет ли у ребенка противопоказаний к тому или иному народному методу лечения красного горла.
Начиная с трехлетнего возраста малышу можно делать согревающий компресс. Для этого смешивают 1 ч. ложку столового уксуса и пол-литра воды или водку и камфорное масло в одинаковых пропорциях. Раствор подогревают на медленном огне до 38° С. В теплой смеси смачивают натуральную ткань и кладут на шею.
Для полоскания горла можно приготовить содовый или морской раствор. Чтобы приготовить содовый раствор в чашке воды размешать 1 ч. ложку соды. Для морского раствора в чашке воды растворяют несколько капель йода и 1 ч. ложку морской соли.
Улучшить циркуляцию крови в глотке можно таким способом – смазать тарелку малиновым или смородиновым вареньем и попросить малыша слизать его. Если варенья нет, то его можно заменить медом.
Еще один способ ускорить выздоровление малыша – применение позы из йоги, которая называется «Лев». Ее суть состоит в том, чтобы высунуть язык как можно больше и попытаться ним достать подбородок. За день необходимо выполнять упражнение по пять раз.
Если ребенок заболел, то необходимо своевременно обратиться к врачу и начать лечение. Ускорить процесс выздоровления поможет комплексное лечение медикаментозными препаратами и народными методами.
| Статьи по теме: | |
|
Опухли гланды с одной стороны и болят: что делать, чем лечить?
Болевые ощущения в горле – адекватная защитная реакция организма на... Что делать, если у ребенка заложен нос, но соплей нет?
Такой симптом, как заложенность носа, встречается у детей довольно... Болит горло без температуры: как и чем быстро устранить симптом
Когда болит горло без температуры, то причину самостоятельно установить... | |